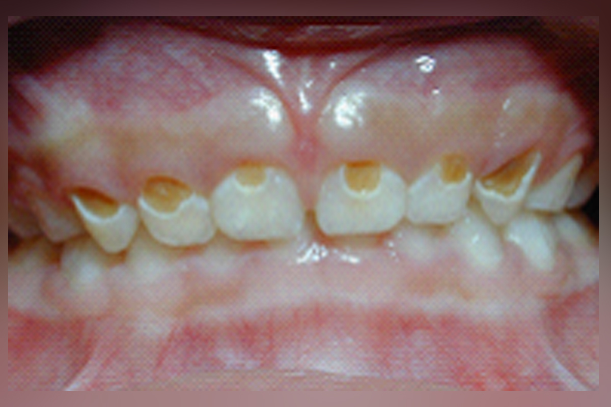
奶瓶型齲齒是指寶寶常因喝奶有飽足感而容易熟睡,睡著了還含著奶瓶,由於寶寶的吞嚥習慣是將舌頭往前往上頂,因此未吞下的牛奶都含在上顎,造成上顎前牙長期浸泡在牛奶中發生蛀牙,久而久之,就可能產生嚴重的蛀牙!它的重點是在牛奶在口腔中時間太長,造成牙齒侵蝕而產生蛀牙,所以不用奶瓶時,一樣會有蛀牙的可能哦!
Page 2 of 2
給孩子們自信與健康,其實小朋友讓牙齒美觀後他們得自信心跟快樂是大人沒辦法理解的
台北市重慶北路三段278之1號8樓
02-2599-3738