Print
Category: 矯正案例

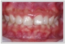
矯正前 : 上排前牙完全覆蓋下排前牙 

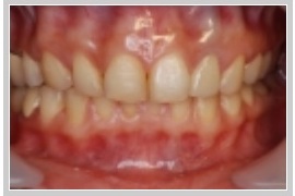
矯正後 : 上門齒應覆蓋下門齒牙2mm

矯正前
矯正後
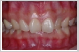
矯正前
矯正後